Atendimento personalizado e humanizado há mais de 40 anos em Curitiba - PR.
No Cenpreorto, acreditamos que a saúde bucal vai muito além da estética do seu sorriso. Nosso compromisso é oferecer um atendimento ético, acolhedor e focado na prevenção, sempre com tempo para entender as suas necessidades e realizar os procedimentos com excelência.
Atualização constante para trazer o melhor da odontologia
Acreditamos que prevenir é mais barato e eficaz do que remediar.
Compartilhamos conhecimento para que você tome decisões informadas.
Tempo suficiente para cuidar da sua saúde com excelência e ainda conversar sobre as novidades do dia.
Um ambiente que respeita e acolhe a diversidade, sem preconceitos.
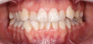
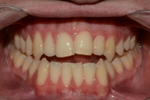
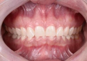
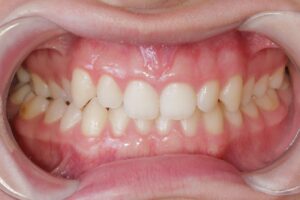
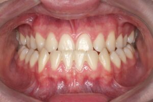
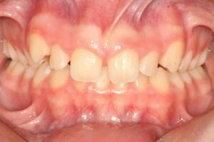
Procurando um tratamento ortodôntico com alinhadores Invisalign com mais de 8 anos de experiência, no centro de Curitiba?
Aqui no CenpreOrto, utilizamos o scanner iTero, uma das mais avançadas inovações da odontologia, para proporcionar mais precisão, conforto e previsibilidade no tratamento dos nossos pacientes.
Diferente dos moldes tradicionais, que podem causar desconforto e imprecisão, o iTero permite escanear a boca do paciente de forma rápida e segura, gerando imagens 3D detalhadas dos dentes e gengivas. Com essa tecnologia, conseguimos visualizar e planejar cada etapa do tratamento ortodôntico, permitindo que o paciente acompanhe a evolução e tenha uma previsão clara do resultado final.
Em nosso blog, você encontra informações, antes e depois de tratamentos, e conteúdos educativos para melhorar sua saúde bucal.






Com mais de 40 anos de experiência, o Cenpreorto é reconhecido pela excelência no atendimento e pela ética profissional. Nossa equipe é formada por especialistas altamente acolhedores e comprometidos em oferecer o melhor da odontologia.
CRO-PR 5558
CRO-PR 3891
CRO-PR 3891
Ao longo de 40 anos, vivenciamos a história de muitos pacientes, atendendo, educando, cuidando da saúde bucal e colecionando amizades! Somos gratos por cada um de vocês!
Conveniado no subsolo para seu conforto. Horários flexíveis adaptados à sua rotina.
O que acreditamos:
Localização: Rua Emiliano Perneta Nº 860 | 18° Andar | Conj. 1805 | Centro | Curitiba PR
Entre o Centro e o Batel em Curitiba.
Estacionamento: Conveniado no subsolo para seu conforto.
Horários: segunda à sexta, das 9 as 18h.